
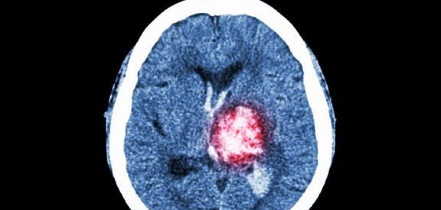
Flere vil kunne overleve hjerneblødning
Hjerneblødning tar livet av like mange i dag som på 1990-tallet. Det trenger ikke være slik. Med bedre behandling kan de som får hjerneblødning leve lenger.
Ny forskning fra UiT Norges arktiske universitet viser at de som overlever den første måneden etter en hjerneblødning har 60 prosent høyere risiko for å dø i årene etter, sammenliknet med de som ikke får hjerneblødning.
Blant de som får hjerneblødning, dør det like mange i dag som på 90-tallet. Hvert år dør 5,5 millioner mennesker av hjerneslag. Det er den nest hyppigste dødsårsaken på verdensbasis.
Disse tallene er det mulig å gjøre noe med, sier førsteamanuensis ved Institutt for klinisk medisin, Maria Carlsson.
--Med forsterket behandling i akuttfasen, bedre forebygging og mer forskning, vil flere av de som får hjerneblødning kunne leve lenger, sier hun i en pressemelding.
Carlsson arbeider med en doktorgrad der hun blant annet ser på hvor lenge pasienter lever hvis de overlever den første kritiske måneden etter en hjerneblødning. Hun har også sett på hva de dør av. Forskningsfunnene er presentert i tidsskriftet Stroke som er det viktigste internasjonale tidsskriftet innenfor hjerneslag.
Fram til nå har forskningen konsentrert seg om dødeligheten rett etter hjerneblødningen. Det finnes lite data om langtidsoverlevelse. Derfor er Carlssons funn viktige både i norsk og internasjonal sammenheng.
--Det er det unike designet til Tromsøundersøkelsen, der vi har vi helsedata om befolkningen over mange år, som har gjort forskning på langtidsoverlevelse mulig, forteller Carlsson.
Ifølge Carlsson er svaret å behandle høyt blodtrykk. For høyt blodtrykk er den absolutt største risikofaktoren for hjerneblødning.
Dette er resultatene fra arbeidet til Carlsson:
• Pasienter som overlever den første kritiske måneden etter en hjerneblødning, har en vedvarende 60 prosent økt risiko for å dø, sammenlignet med befolkningen generelt.
• Hjerte- og karsykdommer er årsaken til den økte risikoen for å dø.
• Blant de som overlever de første 30 dagene, er sjansen for langtidsoverlevelse redusert for de pasientene som bruker blodfortynnende medisiner, er røykere eller har høyt kolesterol på blødningstidspunktet.
• I løpet av de to siste tiårene har det ikke vært noen endring i langtidsoverlevelse.
• Det er behov for forsterket behandling i akuttfasen og økt kunnskap om forebyggende behandling etter en hjerneblødning.